-

扫一扫关注公众号 -

就医助手
一、什么是胆结石?
胆结石,是指胆道系统(包括胆囊及胆管)内发生结石的疾病。结石在胆囊内形成后,刺激囊壁,可引起胆囊的慢性炎症,当结石嵌顿在胆囊颈部或胆管后,还会继发感染,导致胆道急性炎症。胆道感染属于常见疾病,由于结石对胆囊黏膜的慢性刺激,还可能导致胆囊癌的发生,所以要积极预防胆道结石。
二、胆结石的好发因素有些哪些呢?
1.不吃早餐:长期不吃早餐会使胆汁浓度增加,容易促进胆结石的形成,有利于细菌繁殖。如果坚持吃早餐,可促进胆汁排出,降低胆汁黏稠度,降低患胆结石的风险。
2.体质肥胖:三高(高脂、高糖、高胆固醇)饮食,容易形成胆结石。
3.运动较少:运动较少会导致胆囊收缩力下降,胆汁排空延迟,容易造成胆汁淤积,胆固醇结晶析出形成胆结石。
4.肝硬化患者:肝硬化患者体内雌激素灭活功能降低,雌激素水平增高,而且肝硬化患者胆囊收缩功能低下、胆囊排空不畅、胆道静脉曲张、血中胆红素升高等多种因素会造成胆结石的形成。
5.遗传因素:胆结石在同一家族中可多人发病。
三、胆结石诊断首选方法是什么?
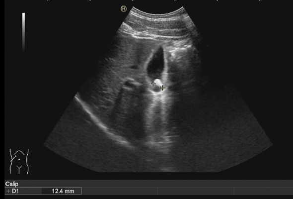
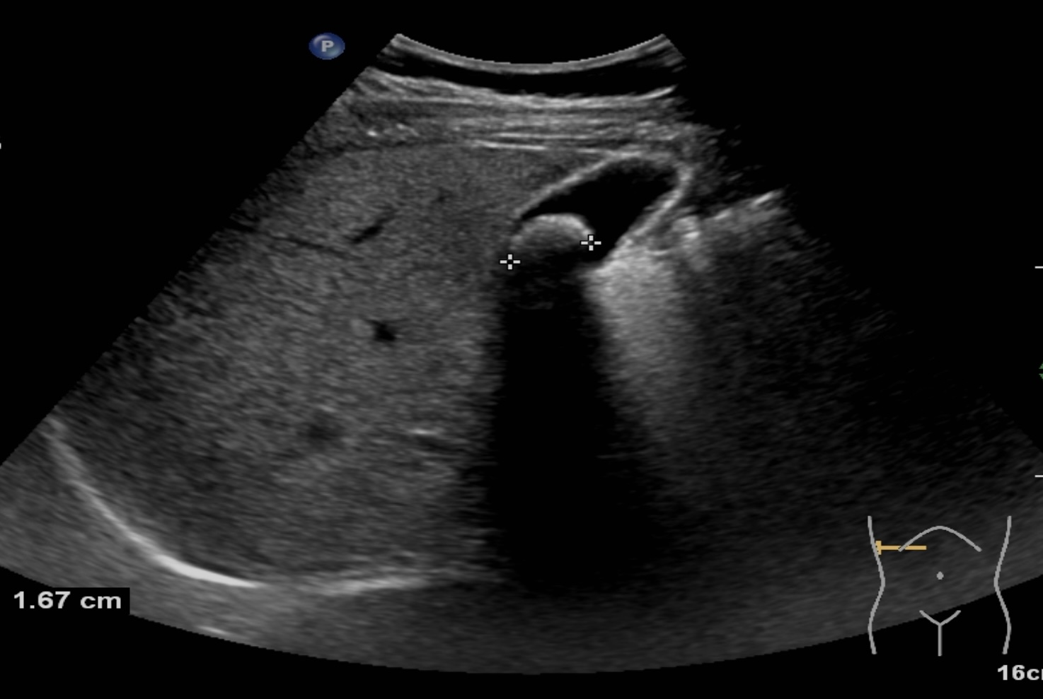
胆结石诊断方式很多,包括彩超、CT、核磁共振、胆管造影等方式都可以对胆道结石进行诊断,但是彩超具有无创、无痛、无辐射、廉价、快速、可重复性强等优点,在临床上被广泛应用作为胆结石的首选诊断方式。注意做肝胆彩超检查必须要空腹,才能准确检查出胆道结石哦!
|
|
胆囊结石超声图像 | |
四、胆结石可以激光碎石吗?
胆结石不可以激光碎石。因为胆结石激光碎石后会使击碎的胆结石掉入胆总管甚至胰管,如果嵌顿在胆囊管,会引起患者剧烈的右上腹绞痛,严重的甚至会引起胆囊破裂、穿孔。如果结石嵌顿在胆总管,不仅会引起腹痛,还会出现黄疸、发热的症状。如果嵌顿在胰管的开口,还会引起胆源性的胰腺炎。胆结石如果采用碎石的方法,将会出现严重的并发症。
五、胆结石应该怎样治疗呢?
胆结石要根据病情轻重来进行不同的治疗:
1.如果患者胆结石病情比较轻,可以在医生的建议下服用缓解胆道痉挛的药物,从而减轻患者的不适症状。
2.如果患者胆结石病情比较重,则需要进行手术治疗。
六、饮食应注意些什么?
胆结石患者平时饮食要注意以低脂肪饮食为主,多吃一些富含维生素、蛋白质、矿物质食物,多吃新鲜的蔬菜、水果等可提供患者身体所需营养物质,增强自身免疫力,减少其他并发症出现。
